
Bone Removal

Key Frames:
• Automatically Removes Body Bone
• Remove Rib Cage (excl. Aorta)
• Remove Rib Cage (incl. Aorta)
• Remove Head Neck Bone
• Remove CT Table
• Remove CT Head Mount
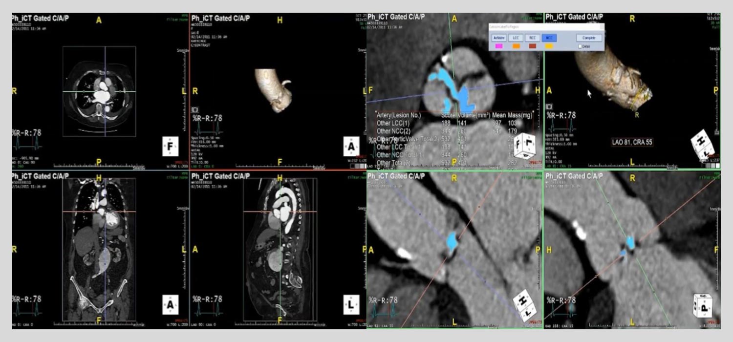
CT Cardiac

Key features:
• Cardiac structure segmentation and functional analysis
• Automated centerline creation and vessel segmentation
• Calcium scoring with multiple database options
• Atrium and pulmonary vein analysis for ep planning
• Pre-operative evaluation of coronary arteries for plaque and stenosis
• Embedded geometry for pre-operative virtual stent evaluation
For More Details: https://www.terarecon.com/advanced-visualization/ct-cardiac
CT Body

Key features:
• Organ volume and histogram output
• Dynamic data support
• Sphere-like structure identification
• Dynamic image filtering
• Dual-source data support
• Colon flythrough
For More Details: https://www.terarecon.com/advanced-visualization/autobatch-package
Volumetric Navigation

Key features:
• For 2D, 3D and 4D viewing
• Anatomy segmentation and volume analysis
• Configurable workflow creation
• Comprehensive and robust measurement tools
• Image batching and report generation
• Comparison views for follow-up patient review
For More Details: https://www.terarecon.com/advanced-visualization/volumetric-navigation-package
TAVR

Key features:
• Aortic root segmentation and orientation
• Centerline pre-processing and extractions
• User-definable planning template
• Report output
For More Details: https://www.terarecon.com/tavr-tour
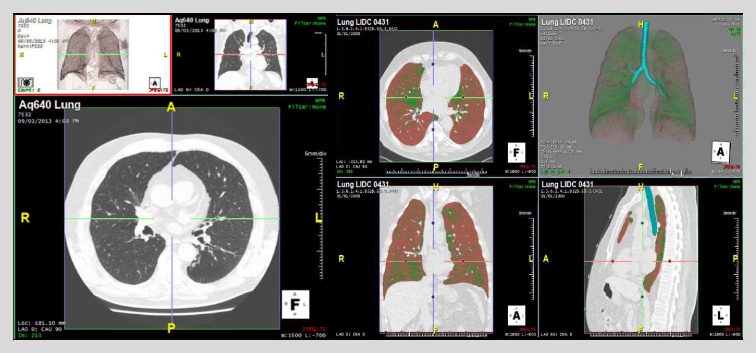
Lung & Liver Segmentation

Lung Segmentation
• Lung and trachea segmentation
• Lung and lobe volumetric analysis
• Lung, airway and vessel anatomical fusion
• Treatment planning simulation
• Low attenuation
Liver Segmentation
• Semi-automated liver segmentation
• Vascular classification options
• Multi-cut option for pre-surgical planning
• Dynamic image filtering with
• Configurable filtering strengths







